C9orf114 (SPOUT1) Rabbit Polyclonal Antibody

CAT#: TA374167

C9orf114 Rabbit polyclonal Antibody

Size: 20 ul 100 ul



Need it in bulk or conjugated?
Get a free quote

CNY 1999.00

CNY 3280.00


货期*
2周

规格
    • 100 ul

Product images

推荐一起购买 (1)
beta Actin Mouse Monoclonal Antibody, Clone OTI1, Loading Control
    • 30 ul

CNY 300.00
CNY 1430.00

Specifications

Product Data
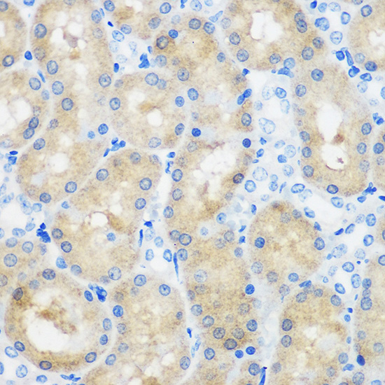
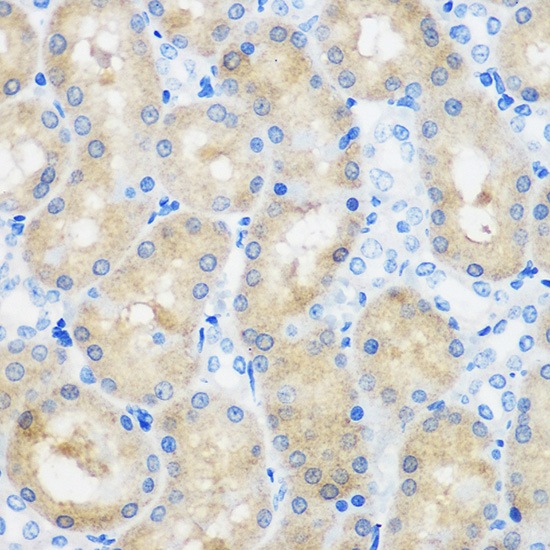
Applications ELISA, IHC, WB
Recommend Dilution WB,1:500 - 1:2000
IHC-P,1:50 - 1:200
ELISA,Recommended starting concentration is 1 μg/mL. Please optimize the concentration based on your specific assay requirements.
Reactivity Human, Rat
Host Rabbit
Clonality Polyclonal
Isotype IgG
Formulation Buffer: PBS with 0.01% thimerosal,50% glycerol,pH7.3.
Concentration lot specific
Purification Affinity purification
Conjugation Unconjugated
Storage Condition Store at -20℃. Avoid freeze / thaw cycles.
Predicted Protein Size 42kDa
Gene Name chromosome 9 open reading frame 114
Background Enables miRNA binding activity. Involved in maintenance of centrosome location and production of miRNAs involved in gene silencing by miRNA. Located in kinetochore; mitotic spindle; and spindle pole centrosome.
Synonyms DKFZp566D143; HSPC109; MGC29492; RP11-545E17.7
Reference Data
*Delivery time may vary from web posted schedule. Occasional delays may occur due to unforeseen complexities in the preparation of your product. International customers may expect an additional 1-2 weeks in shipping.
Customer Reviews 
Loading...